Retinal detachment may develop in any healthy person.
Retinal detachment is usually painless.
The likelihood of retinal detachment to affect the other eye is at least 10%.
Retinal detachment is a rapidly progressive emergency condition.
Retinal detachment involves a high likelihood of recurrence. Several surgeries may be needed for recurrent tears or detachments.
Your vision will not always improve after surgery. Vision improvement is an extremely slow process.
Retinal detachment surgeries are vastly varied. Different techniques may be performed on every patient.
An ophthalmologist will follow up the eye on which he/she performed a retinal detachment operation for years, and usually repeat surgery will be required.
Most of the silicone oil inserted in the eye will be removed. Your ophthalmologist will decide on the timing of the removal which will require another surgery.
You should wait for your ophthalmologist’s approval before taking an airplane or a bus.

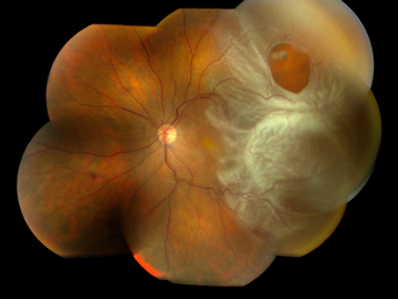
Figure 1: Retinal tear and retinal detachment in the eye.